意大利马尔凯理工大学Gianluca教授被质疑学术造假

意大利马尔凯理工大学(Università Politecnica Delle Marche)医学中心消化内科的 Gianluca Svegliati Baroni 教授,最近身陷学术造假言论风云。

 
意大利马尔凯理工大学 Gianluca 教授被质疑学术造假

Gianluca 教授的主要研讨方向是肝病学和胃肠病学,兼任消化范畴多本世界专业 SCI 期刊的审稿人,参加担任欧盟赞助的 3400 万欧元肝病研讨项目,相当于人民币 2 亿 6 千万了。
 
意大利马尔凯理工大学 Gianluca 教授被质疑学术造假
从 PubMed 的检索成果来看,Gianluca 已宣布了 81 篇论文,最近的一篇是于本年 11 月 20 日正式宣布在 Free Radic Biol Med 杂志上的一篇文章。
 
意大利马尔凯理工大学 Gianluca 教授被质疑学术造假

Gianluca 教授不只高产,高引文章也不少,多篇被引 400+ 次的专业文章,在世界上的学术影响力可见不低。
 
意大利马尔凯理工大学 Gianluca 教授被质疑学术造假

与上期三姐的花式造假不同的是,Gianluca 等作者好像更专注于玩转 WB 条带,咱们来看几篇文章:

榜首篇文章“Bile acids induce hepatic stellate cell proliferation via activation of the epidermal growth factor receptor”,于 2005 年 4 月,宣布在影响因子19.233 分的 Gastroenterology 杂志上,现在已被引证 94 次。
 
意大利马尔凯理工大学 Gianluca 教授被质疑学术造假

该文的条带造假比较多,比方下面两图内指向的 α -actinin 条带,经 180 度翻转后,可看出二者彻底形同。
 
意大利马尔凯理工大学 Gianluca 教授被质疑学术造假
在 Figure 12 中,右边的 HEP 与 HSC 之间有一处明显的拼接痕迹。
 
意大利马尔凯理工大学 Gianluca 教授被质疑学术造假

第二篇文章 “Glucagon-like peptide-1 receptor activation stimulates hepatic lipid oxidation and restores hepatic signalling alteration induced by a high-fat diet in nonalcoholic steatohepatitis”,于 2011 年 10 月, 宣布在影响因子 5.542 分的 Liver International 杂志上,现在已被引证 288 次。
 
意大利马尔凯理工大学 Gianluca 教授被质疑学术造假

该文的条带与 2008 年宣布在 GUT 杂志上的文章条带有较多重复,比方 Figure 6(Liver International 2011)与 Figure 4(GUT 2008)的 β -actin 条带。
 
意大利马尔凯理工大学 Gianluca 教授被质疑学术造假

仅仅是两组条带相同吗?好像没那么简单,仔细看这条带内部,看看绿色圆圈标出的当地,比较一下,有没有感觉很相似?
 
意大利马尔凯理工大学 Gianluca 教授被质疑学术造假

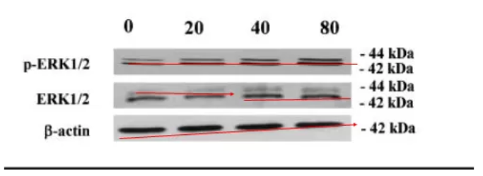
第三篇文章 “Leptin enhances cholangiocarcinoma cell growth”,于 2008 年 8 月, 宣布在影响因子 8.378 分的 Cancer Research 杂志上,现在已被引证 79 次。
 
意大利马尔凯理工大学 Gianluca 教授被质疑学术造假
除了重复使用条带,该文还被质疑同一图内的条带来源于不同的凝胶,比方 Figure 2D 中的 ERK、pERK 和 β -actin,从红线标注的走势来看,它们好像来源于不同的膜。
 
意大利马尔凯理工大学 Gianluca 教授被质疑学术造假

对文章中的 Figure 3B 也有相似的疑问,看紫色虚线的区分。
 
意大利马尔凯理工大学 Gianluca 教授被质疑学术造假

第四篇文章 “Endoplasmic Reticulum stress induces hepatic stellate cell apoptosis and contributes to fibrosis resolution”,于 2012 年 11 月, 宣布在影响因子 5.542 分的 Liver International 杂志上,现在已被引证 44 次。
 
意大利马尔凯理工大学 Gianluca 教授被质疑学术造假
该文除了 180 度翻转重复使用条带的基本操作外,还有一处奇特的操作:上下条带的巨细、位置很不对应,好像不是来源于同一凝胶。
 
意大利马尔凯理工大学 Gianluca 教授被质疑学术造假

第五篇文章 “Lack of NLRP3-inflammasome leads to gut-liver axis derangement, gut dysbiosis and a worsened phenotype in a mouse model of NAFLD”,于 2017 年 9 月, 宣布在影响因子 4.011 分的 Scientific Reports 杂志上,现在已被引证 17 次。
 
意大利马尔凯理工大学 Gianluca 教授被质疑学术造假

这是仅有一篇被有校对的文章,只是在校对的内容里,仅仅提到作者姓名的拼写错误,却没有回应 Linosticha 等其他学者的质疑。
 
意大利马尔凯理工大学 Gianluca 教授被质疑学术造假

该文也是多处 WB 条带被质疑来源不同,比方 Figure 5C 是个很好的比对例子。看右边的 Occludin 与 β -actin,再看左边的 ZO- 1 与 β -actin,来源于同一凝胶吗?不像。
 
意大利马尔凯理工大学 Gianluca 教授被质疑学术造假

提到 WB 条带造假,我们首先想到的,大多是条带的重复使用、剪切、旋转、拼接等。相应的,就较少留心上下条带间的走势、背景、巨细、长宽、位置比对等。假如发现差异过大时,可能就要考虑是否存在来源问题了,比方今天 Gianluca 教授的典型问题条带。

正文完
更多资讯,敬请关注「走访建筑」微信公众号😘
post-qrcode