

裴钢和耿美玉的文章在文中现已列出来了,各有一篇,有爱好的读者可以去 Pubmed 或 Pubpeer 上看看,自行判别是否存在学术不端(裴钢的论文时刻太早,Pubpeer 上并没有)。李红良依据饶毅的举报 17 年如一日的造假,比较明显的高分文章有这些:
文章标题:Cellular FLICE-inhibitory protein protects against cardiac remodeling induced by angiotensin II in mice
杂志:Hypertension,2010 年
李红良方位:一作兼通讯

正文 Figure 4E 中的条带涉嫌复制、剪切、拼接
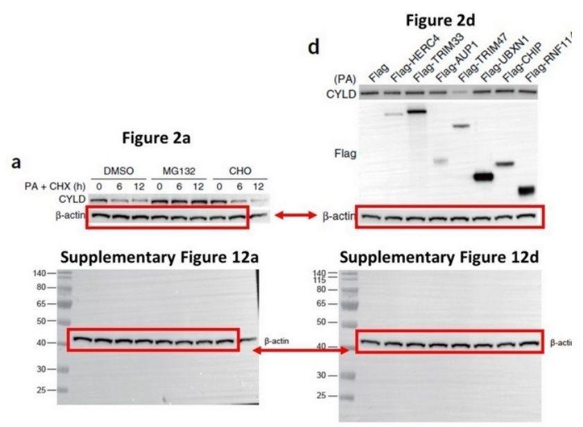
文章标题:The deubiquitinating enzyme cylindromatosis mitigates nonalcoholic steatohepatitis
杂志:Nature Medicine,2018 年
李红良方位:通讯

正文 Figure 2 与补充材料中的 Figure 12 中,β-actin 内参条带涉嫌重复
文章标题:Interferon regulatory factor 9 is critical for neointima formation following vascular injury
杂志:Nature Communications,2014 年
李红良方位:通讯

2014 原图中被圈出的四个柱状图,其数据来源相同
文章标题:Targeted cardiac overexpression of A20 improves left ventricular performance and reduces compensatory hypertrophy after myocardial infarction
杂志:Circulation,2007 年
李红良方位:一作

正文 Figure 7B 中的 MMP- 9 条带出现重复,背景还看似有拼接痕迹