造假牛人Gulam Waris1年内才被撤稿5篇SCI!又有6篇文章被质疑

最近,Journal of General Virology 杂志针对学术造假惯犯 Gulam Waris 的涉假文章发表了关注声明。

造假牛人 Gulam Waris1 年内才被撤稿 5 篇 SCI!又有 6 篇文章被质疑
尽管 Waris 博士仅仅罗莎琳德富兰克林医科大学的助理教授,但其造假手法和胆识,丝毫不差劲于大牛院士。 在 Waris 教授已被撤稿的五篇文章里,包含三篇 The Journal of Biological Chemistry 和两篇 PLoS ONE 杂志上的文章。
 
造假牛人 Gulam Waris1 年内才被撤稿 5 篇 SCI!又有 6 篇文章被质疑

先看 2018 年 12 月 28 日撤稿的三篇 JBC 文章:

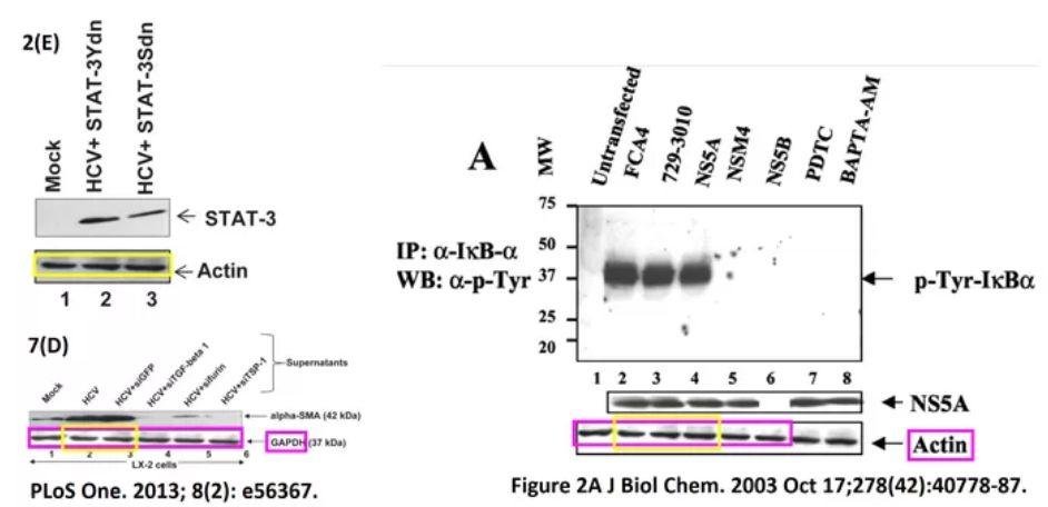
第一篇发表于 2003 年 10 月,Waris 为第一作者,现在已被引证 99 次。

造假牛人 Gulam Waris1 年内才被撤稿 5 篇 SCI!又有 6 篇文章被质疑
该文 Figure 2A 中的 Actin 条带被部分剪切,用于 Figure 2B 和 Figure 9A。一起,Figure 9A 中还存在其他重叠区域,见下图紫色标示。
 
造假牛人 Gulam Waris1 年内才被撤稿 5 篇 SCI!又有 6 篇文章被质疑
第二篇发表于 2013 年 12 月,时隔十年,Waris 已上升为通讯作者级别,现在已被引证 29 次。
 
造假牛人 Gulam Waris1 年内才被撤稿 5 篇 SCI!又有 6 篇文章被质疑
该文 Figure 9 中的 p -GSK-3β 条带,经修饰后,被重复用于 2016 年 JBC 文章中 Figure 1D 的 NLRP3 条带。Figure 7F 中的图画重复用于 2014 年 PLoS ONE 文章中的 Figure2A。
 
造假牛人 Gulam Waris1 年内才被撤稿 5 篇 SCI!又有 6 篇文章被质疑
第三篇发表于 2016 年 2 月,Waris 为通讯作者,现在已被引证 28 次。
 
造假牛人 Gulam Waris1 年内才被撤稿 5 篇 SCI!又有 6 篇文章被质疑
该文 Figure 1F 的内参条带与 2003 年文章的 Figure 2A 重复, 一条跨越了 13 年的内参条带。 别的,在 Figure 7A 与 B,部分条带被 180 度翻转重复使用。
 
造假牛人 Gulam Waris1 年内才被撤稿 5 篇 SCI!又有 6 篇文章被质疑

再来看 2019 年 4 月 30 号,PLoS ONE 杂志上撤稿的两篇文章:

第一篇发表于 2013 年,Waris 为通讯作者,现在已被引证 65 次。

造假牛人 Gulam Waris1 年内才被撤稿 5 篇 SCI!又有 6 篇文章被质疑
时隔十年,2003 年 JBC 的 Actin 内参条带,摇身一变,变成了这儿 PLoS ONE 中的 GAPDH 内参条带。
 
造假牛人 Gulam Waris1 年内才被撤稿 5 篇 SCI!又有 6 篇文章被质疑
第二篇发表于 2014 年,Waris 为通讯作者,现在已被引证 18 次。
 
造假牛人 Gulam Waris1 年内才被撤稿 5 篇 SCI!又有 6 篇文章被质疑
文中 Figure 1B 里的 HCV NS5A 条带,来自 2010 年 Journal of General Virology 杂志文章中 Figure 3C 里 HCV core 条带的 180 度翻转。
 
造假牛人 Gulam Waris1 年内才被撤稿 5 篇 SCI!又有 6 篇文章被质疑

上述仅展示了 5 篇文章中的部分造假情节。而被 Journal of General Virology 杂志关注的这篇 2010 年文章, 其实验图画被不同程度、不同方式用于 Waris 的其他至少六篇文章中。

造假牛人 Gulam Waris1 年内才被撤稿 5 篇 SCI!又有 6 篇文章被质疑

这六篇里,包含了 5 篇 Journal of General Virology 杂志的其他文章,和一篇已被撤稿的 JBC 文章。

造假牛人 Gulam Waris1 年内才被撤稿 5 篇 SCI!又有 6 篇文章被质疑
尽管该重复图画对这篇文章的成果与结论,并没有发生致命的影响。但杂志社也因此对文中其他数据、图画的可靠性表明忧虑,特在此告示读者。
 
都这个时候了,Waris 居然还不承认自己重复使用实验图片。他表明:
尽管一些蛋白质的条带款式似乎是相似的,但这并不意味着它们是完全相同的图画。这些研究现已进行了数年,作者都现已不在原实验室,现已没有原始印迹来验证这些图画。咱们没有复制图画,所有这些成果都是可重复和可靠的。多年来,一些研究人员也在他们的研究中,重复出了咱们的数据与成果。
 
对于这些文章,Journal of General Virology 杂志编辑表明,现在先宣布 Expression of concern 声明,暂不直接撤回,有待进一步查询考证。

正文完
更多资讯,敬请关注「走访建筑」微信公众号😘
post-qrcode