Antonio Benedetti教授 37篇署名文章被质疑学术不端

前段时间,黑洞系列有提到意大利马尔凯理工大学(Università Politecnica Delle Marche)翁贝托一世综合医院消化内科的 Gianluca Svegliati-Baroni 教授。

Antonio Benedetti 教授 37 篇署名文章被质疑学术不端
Gianluca 教授的 20 篇文章被 pubpeer 上的学者质疑造假,已是不少。
但没想到,这造假抄袭似乎是会“传染”的。
其科室主管 Antonio Benedetti 教授,更是有 37 篇署名文章被质疑学术不端。
Antonio Benedetti 教授 37 篇署名文章被质疑学术不端
Gianluca 教授参加欧盟 3400 万欧元肝病项目,兼任消化范畴多本 SCI 期刊的审稿人,可以说是业界大佬了。
而科室主管 Antonio Benedetti 教授的学术堆集更是深沉,现在署名宣告的文章已达 314 篇之多,累计被引近 9000 次。
Antonio Benedetti 教授 37 篇署名文章被质疑学术不端
Antonio Benedetti 教授的不少文章都是宣告 Nature GeneticsJournal of HepatologyGastroenterologyHepatologyJournal of Clinical Investigation 等高分专业期刊上,被引次数破百的文章也高达 20 篇以上。
Antonio Benedetti 教授 37 篇署名文章被质疑学术不端
一年前,Antonio Benedetti 教授就有三篇文章被学者质疑。
近期遭质疑的文章数量,骤增至近 40 篇,下面我们来选看 5 篇文章:
榜首篇文章 “Control of cholangiocyte adaptive responses by visceral hormones and neuropeptides”, 于 2009 年 2 月,宣告在影响因子 7.328 分的 Clinical Reviews in Allergy & Immunology 杂志上,现在已被引用 22 次。
Antonio Benedetti 教授 37 篇署名文章被质疑学术不端
这篇文章的许多参考文献中,有 45 篇自我引用 ,可以说十分多了。另外,该文被指 抄袭2006 年宣告在 World Journal of Gastroenterology 杂志的文章,相同的句子已用赤色标出:
Antonio Benedetti 教授 37 篇署名文章被质疑学术不端
第二篇文章 “Selective Na+/H+ exchange inhibition by cariporide reduces liver fibrosis in the rat.”, 于 2003 年 2 月,宣告在影响因子 14.971 分的 Hepatology 杂志上,现在已被引用 59 次。
Antonio Benedetti 教授 37 篇署名文章被质疑学术不端
该文 Figure 8C 的免疫印迹条带,与 2004 年宣告在 Digestive and Liver Disease 杂志上的文章中的 Figure 4 完全相同,处理组别并不完全相同:
Antonio Benedetti 教授 37 篇署名文章被质疑学术不端
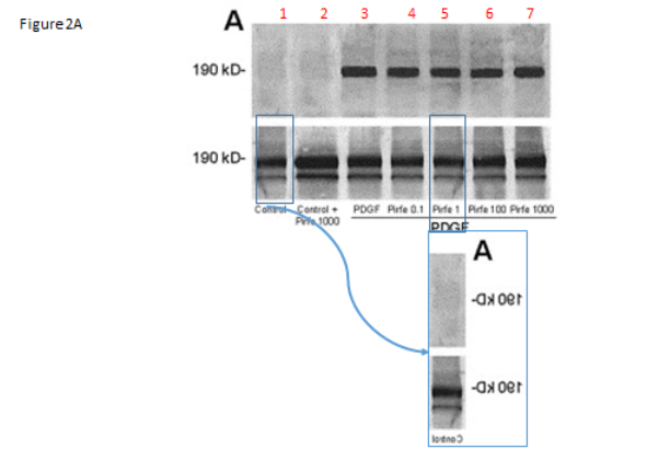
第三篇文章 “Effect of pirfenidone on rat hepatic stellate cell proliferation and collagen production”, 于 2002 年 11 月,宣告在影响因子 18.946 分的 Journal of Hepatology 杂志上,现在已被引用 136 次。
Antonio Benedetti 教授 37 篇署名文章被质疑学术不端
该文 Figure 2A 被 质疑 图画重复使用,对照组图画“1”经镜像翻转后,与“5”简直完全重合,已用蓝框标出:
Antonio Benedetti 教授 37 篇署名文章被质疑学术不端
第四篇文章 “Rearrangement of the cytoskeletal network induced by platelet-derived growth factor in rat hepatic stellate cells: role of different intracellular signalling pathways”, 于 2002 年 2 月,相同宣告在 Journal of Hepatology 杂志上,现在已被引用 40 次。
Antonio Benedetti 教授 37 篇署名文章被质疑学术不端
① 该文 Figure 1C 被署名“Bacillus Viscosus”的学者 质疑重复,纵向比照查询 Controls 与 PDGF+WORT,确实十分类似:
Antonio Benedetti 教授 37 篇署名文章被质疑学术不端
② 这还没完,署名“Hoya Camphorifolia”的学者还质疑 PDGF+LY 294002 与 Controls、PDGF+WORT镜像重复。将 Controls、PDGF+WORT 镜像翻转后,移到 PDGF+LY 294002 右方,再加深后比照,可见类似度极高。
Antonio Benedetti 教授 37 篇署名文章被质疑学术不端
③ 还有署名“Eleutherodactylus Lentus”的学者,还质疑该图与上面第三篇文章的 Figure 2B 前半部分 条带重复,见下图红框标示:
Antonio Benedetti 教授 37 篇署名文章被质疑学术不端
两图中的 Control 与 PDGF 看起来确实比较像,Hoya Camphorifolia 提出两图的 PDGF+WORT 并不像。
不过,上图蓝框标出的 PDGF+WORT,逆时针旋转 15°左右后,比照 Control 又有几分镜像嫌疑,这一点仅作猜测。
第五篇文章 “Development and characterization of secretin-stimulated secretion of cultured rat cholangiocytes”, 于 2003 年 6 月,宣告在影响因子 3.729 分的 Am J Physiol Gastrointest Liver Physiol 杂志上,现在已被引用 34 次。
Antonio Benedetti 教授 37 篇署名文章被质疑学术不端
Simulium Ornatipes 质疑该文 Figure 4 不同条带的不同方位,有至少 3 处 剪切拼接痕迹,见下图黑色箭头指向:
Antonio Benedetti 教授 37 篇署名文章被质疑学术不端
在这 37 篇署名文章中,Antonio Benedetti 挂名一作或通讯作者的文章很少,只需几篇。
部分文章就是与 Gianluca Svegliati-Baroni 协作的,Gianluca、Sario 等在这些涉假文章中又大多是一作或通讯。
不能承认 Antonio Benedetti 是否有知情或参加造假,但可以承认的是,他的不少协作同伴都不靠谱。
在科研生计中,选对可靠的协作同伴很重要,不要一时挂了名,日后背污名。
正文完
更多资讯,敬请关注「走访建筑」微信公众号😘
post-qrcode