院士兼校长Mien-Chie Hung(洪明奇)涉嫌学术不端,造假文章十余篇

前段时间,公众号发布过一篇稿件——《No zuo no die,美籍华人院士 2 篇文章被撤稿,还有 10 篇在查询 》。稿件讲述了美国佐治亚州立大学副校长,美籍华人邹明辉院士论文撤稿事件。这才曩昔一个多月,前些日子又有一位院士兼名校校长——Mien-Chie Hung(洪明奇) 涉嫌学术不端。

 
洪明奇教授于 1973 年取得台湾大学化学系学士学位,1983年取得布兰迪斯大学分子生物学博士学位。从 2000 年起,他成为德州大学安德森癌症研讨中心分子细胞肿瘤学系主任。2019年,他回到中国台湾,成为中国医药大学校长(中国台湾)。至于归国的原因,洪明奇教授表明:他想为大学带来新的肿瘤研讨环境,比方肿瘤的免疫医治和靶向医治。

院士兼校长 Mien-Chie Hung(洪明奇)涉嫌学术不端,造假文章十余篇

洪明奇教授在肿瘤医治范畴具有非常出色的奉献,他们团队初次发现了一种癌症凋亡细胞的突变种(BIK-DD)。经过调控这种细胞在肿瘤干细胞中大量表达,特异性的诱导后者凋亡,从而可以高效的按捺肿瘤发生。在曩昔 30 多年的研讨中,洪教授现已做出了很多高质量研讨成果,现在现已宣布了 600 多篇论文,总被引次数超过 50000 次,H指数高达115

院士兼校长 Mien-Chie Hung(洪明奇)涉嫌学术不端,造假文章十余篇

除了科研方面有出色体现,洪明奇教授在促进科学发展方面也具有非常大的奉献。他是肿瘤学范畴高端期刊 Cancer Cell 的开创编委之一,也是美洲华人生物科学会(SCBA)的关键发起者和原主席。在学术方面的巨大成功也让他在 2002 年当选为台湾中央研讨院院士、2010年被选为美国科学促进会的研讨员。
 
尽管洪明奇教授身上荣光无限,但是近期却频频被曝涉嫌学术不端。经过查找,笔者洪明奇教授现在 现已有两篇文章被撤稿,还有 10 余篇论文饱尝质疑,下面咱们一同来看看几篇比较典型涉嫌学术不端的论文。

院士兼校长 Mien-Chie Hung(洪明奇)涉嫌学术不端,造假文章十余篇

第一篇文章 20104 月份宣布在 plos one 杂志上,影响因子为 2.776 分。该论文的标题是 Vimentin is a novelanti-cancer therapeutic target; insights from in vitro and in vivo micexenograft studies20193月被撤稿,现在现已被引证 188 次。

院士兼校长 Mien-Chie Hung(洪明奇)涉嫌学术不端,造假文章十余篇

这篇文章被撤稿的首要原因是 图片重复使用(包含免疫印迹条带、显微摄影图和流式细胞图)和图片裁剪,涉及到的图多达十余处,着实令人震惊。
1. 免疫印迹条带重复使用

院士兼校长 Mien-Chie Hung(洪明奇)涉嫌学术不端,造假文章十余篇

2. 显微摄影图重复使用

院士兼校长 Mien-Chie Hung(洪明奇)涉嫌学术不端,造假文章十余篇

3. 流式细胞图重复使用

院士兼校长 Mien-Chie Hung(洪明奇)涉嫌学术不端,造假文章十余篇

4. 图片人工裁剪拼接

院士兼校长 Mien-Chie Hung(洪明奇)涉嫌学术不端,造假文章十余篇

第二篇文章 20167 月份宣布在 Cancer Research 杂志上,影响因子为 8.378 分。该论文的标题是 Dicer Elicits Paclitaxel Chemosensitization and Suppresses Cancer Stemness in Breast Cancer by Repressing AXL201810月被撤稿,由于撤稿的比较及时,现在仅被引证 14 次。

院士兼校长 Mien-Chie Hung(洪明奇)涉嫌学术不端,造假文章十余篇

 
这篇文章被撤稿的首要原因是 4G和图 3I 图片重复使用和数据造假,并且在后期查询过程中作者无法提原始数据,并且作者也供认篡改数据,因此论文被撤稿。

院士兼校长 Mien-Chie Hung(洪明奇)涉嫌学术不端,造假文章十余篇

除了上述两篇撤稿文章,洪明奇教授还有十余篇论文饱尝质疑,下面咱们一同看看几篇宣布在高水平期刊上的文章。
 
第三篇文章 20063 月份宣布在 Cancer Cell 杂志上,影响因子为 23.916 分。该论文的标题是 The VEGF-C/Flt-4 axispromotes invasion and metastasis of cancer cells,现在现已被引证395 次。

院士兼校长 Mien-Chie Hung(洪明奇)涉嫌学术不端,造假文章十余篇

在这篇文章宣布不久后,有众位学者表明 文章中多处图片重复使用 。为此,作者别离于20072月和 20089月进行了两次更正。

院士兼校长 Mien-Chie Hung(洪明奇)涉嫌学术不端,造假文章十余篇

第四篇文章 201611 月份宣布在 Cancer Cell 杂志上,影响因子为 23.916 分。该论文的标题是 ERK Activation Globally Downregulates miRNAs through Phosphorylating Exportin-5,现在现已被引证54 次。

院士兼校长 Mien-Chie Hung(洪明奇)涉嫌学术不端,造假文章十余篇

该论文被质疑的首要原因是 5H中,免疫荧光图片重复使用。

院士兼校长 Mien-Chie Hung(洪明奇)涉嫌学术不端,造假文章十余篇

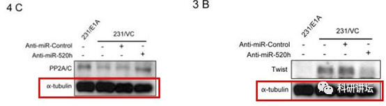
第五篇文章 20106 月份宣布在 Cancer Research 杂志上,影响因子为 8.378 分。该论文的标题是 Downregulation ofmicroRNA miR-520h by E1A contributes to anticancer activity,现在现已被引证54 次。

院士兼校长 Mien-Chie Hung(洪明奇)涉嫌学术不端,造假文章十余篇

该论文被质疑的首要原因是 免疫印迹条带和免疫荧光图片重复使用。
1. 3B 和图 4C 免疫印迹条带重复使用

院士兼校长 Mien-Chie Hung(洪明奇)涉嫌学术不端,造假文章十余篇

2. 1B 免疫荧光图片重复使用

院士兼校长 Mien-Chie Hung(洪明奇)涉嫌学术不端,造假文章十余篇

近年来,不少文章由于图片重复使用问题而被撤稿。尽管看似很小的问题,但是这反应的是学者对科研招摇撞骗的情绪。求真务实才是科研本该有的情绪,只要这样,研讨出来的成果才能熠熠生辉。
声明:图源网络
正文完
更多资讯,敬请关注「走访建筑」微信公众号😘
post-qrcode