荣誉 Honor
论文 Article
博客 Blog
海报 Poster
作品 Work
专利 Patent
报告 Report
艺术 ART
资料 Data
征稿 CFP list
资讯 Info
搜索
荣誉 Honor
论文 Article
博客 Blog
海报 Poster
作品 Work
专利 Patent
报告 Report
艺术 ART
资料 Data
征稿 CFP list
资讯 Info
首页
科学资讯
正文
王红艳获得优青和杰青后再次在顶级期刊上发表论文
近些年来,国内免疫学的开展十分迅速,涌现出一大批杰出的科学家。其间中科院上海生物化学与细胞生物学研讨所的
王红艳
研讨员就是非常优异的一位青年科学家。据了解,王红艳研讨员
1998
年结业于安徽医科大学临床医学专业,
2010
年起担任生化和细胞所研讨员,别离于
2014
年和
2018
年取得优青和杰青赞助。作为杰青取得者,王红艳研讨员毫无疑问是我国的高端科技人才,在基础科研领域取得了不斐的成果。
12
月
24
日,王红艳研讨员和上海大学魏滨教授合作在《
Cell
》子刊《
IMMUNITY
》
杂志上在线发表题为
Targeting 7-dehydrocholesterol reductase integrates cholesterol metabolism and IRF3 activation to eliminate infection
的研讨性论文,该文提醒参加胆固醇组成的
7-
脱氢胆固醇
能够活化
IRF3
铲除病毒感染,提醒了
胆固醇代谢与天然免疫之间的联络
,下面我们来看看这篇文章。
研讨布景:胆固醇可经过甲羟戊酸途径组成,这一组成途径需求超越
20
种酶的参加。
DHCR7
(
7-
脱氢胆固醇还原酶)作为胆固醇组成的最终一步酶类,可催化
7-
脱氢胆固醇(
7-DHC
)生成胆固醇。从前已有研讨指出胆固醇代谢与天然免疫之间存在联络,当机体遭到病毒感染后巨噬细胞中
STING-TBK1-IRF3
信号通路激活使得一些抗病毒基因
(
如:
IFN-I)
的表达增强,
IFN-I
能够经过受体降低细胞内胆固醇的含量。但是否存在其他与胆固醇代谢相关的分子参加天然免疫现在还不清楚。
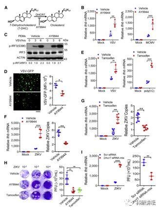
研讨成果:为了寻觅胆固醇代谢中参加抗病毒感染的关键酶,作者检测了
VSV
感染
12h
后肝脏组织中胆固醇代谢基因的表达状况。成果显现,
感染后
DHCR7
的表达量显着下降。
那么
DHCR7
在抗病毒应对是否发挥效果?接下来作者在原代细胞中
敲除
dhcr7
基因同时感染病毒,成果发现细胞中
IFN-β
的表达大大进步。
并且
dhcr7
过表达降低了
IFN-β
信号通路上游
IRF3
蛋白的磷酸化
。
这说明
dhcr7
能够在病毒感染细胞后按捺
IFN-β
的发生。
为了进一步确定这个成果,作者别离用
Ay9944
(
DHCR7
酶按捺剂)和
Tamoxifen
(临床上用于医治乳腺癌和卵巢癌的药物,对
DHCR7
酶活性有显着的按捺效果)处理病毒感染的巨噬细胞。成果显现
Ay9944
和
Tamoxifen
显着增强了
IRF3
的磷酸化,促进了
IFN-β
的表达并且具有铲除病毒的效果。
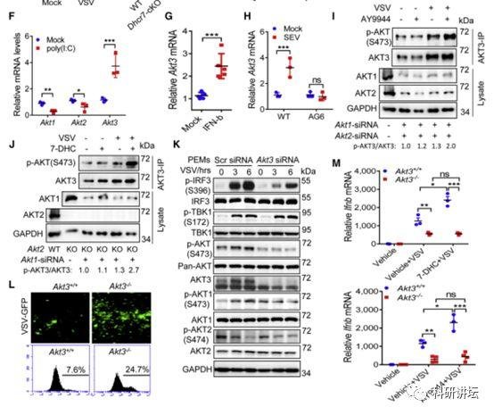
由于
DHCR7
在胆固醇组成途径中的效果是运用
7-DHC
组成胆固醇,这就导致我们发生一个疑问:它对于
IFN-β
的影响是因为
7-DHC
的堆集仍是胆固醇的降低?作者在
DHCR7
敲除的细胞中添加一种可溶性胆固醇
MβCD-CH
检测胆固醇对
IFN-β
的影响。成果显现
胆固醇对
IFN-β
的表达量没有显着影响。
而
加入
7-DHC
后显着添加了
IFN-β
,并且增强了
IRF3
的磷酸化和细胞的病毒铲除能力。
接下来作者开端探究其间的机制。之前的研讨发现
PI3K
能够激活
IRF3
,当作者比较
PI3K
按捺剂
LY294002
与对照组处理的
DHCR7
缺点细胞时显现
LY294002
按捺了
IFN-β
表达量的添加。
而
PI3K
下流的效应蛋白是
AKT
宗族成员,因此作者经过
AKT
敲除实验证明
AKT
在其间的效果。成果发现
Akt3
是
7-DHC
堆集的关键下流效应因子,在病毒感染细胞时时能够进步
IFN-β
的表达量。
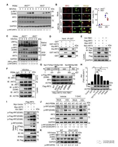
那么
AKT3
如何影响
IRF3
的活化?免疫沉淀实验显
示
akt3
与
IRF3
具有相互效果。
作者构建了不同的点突变
IRF3
载体提醒
akt3
能够特异性添加
IRF3
蛋白
ser385
位点的磷酸化,实现
IRF3
的二聚化。
最终作者在体内验证
DHCR7
按捺剂对病毒的铲除效果,实验成果证明
按捺剂能够铲除病毒,进步小鼠的生存率。
研讨总结:该研讨证明
病毒感染时巨噬细胞中
7-
脱氢胆固醇还原酶(
DHCR7
)的表达减少。
DHCR7
缺点或许加入
7-
脱氢胆固醇(
7-DHC
)能够促进
IRF3
的磷酸化,增强
I
型干扰素的出产。机制的研讨发现
7-DHC
经过
AKT3
影响
IRF3
蛋白
Ser385
位点的磷酸化和自身的二聚化,进一步促进干扰素的组成。
而
DHCR7
按捺剂(
AY9944
和他莫昔芬)能够协助细胞铲除病毒感染。因此,
DHCR7
按捺剂和
7-DHC
是防备新式或高致病性病毒潜在的医治办法。
正文完
更多资讯,敬请关注「走访建筑」微信公众号😘
因为一篇论文 德国母亲带5岁儿子来上海寻医手术成功
上一篇
2019年学术不端事件大盘点
下一篇